- 
                                        
    
    
    Оперативное лечение двустороннего спондилолиза L5 позвонка у профессиональной гимнастки с использованием индивидуальной конструкции
 - 
                                        
    
    
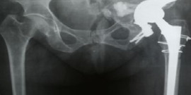
    The experience of using custom-made implants for gross acetabular defects
 - 
                                        
    
    
    Особенности позвоночно-тазовой фиксации при деформациях и травматических повреждениях позвоночника
 - 
                                        
    
    
    Восстановление объемных дефектов нижней челюсти с помощью индивидуально изготовленного титанового имплантата
 - 
                                        
    
    
    Аддитивные технологии в хирургии деформаций позвоночника